(513) 899-3789

 

Kim Dental Care

Home » Smile Gallery

 

 

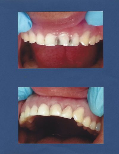
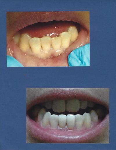
Smile Gallery – Kim Dental Care

Kim Dental Care

Morrow, OH Cosmetic Dentist
155 E Pike St
Morrow, OH 45152
Phone: (513) 899-3789

SCHEDULE AN APPOINTMENT TODAY